Take Photos & Complete Form
Take five pictures of your teeth, and complete the form below to start the consultation process
Review & Recommendations
Your orthodontist will review your photos and recommend a treatment plan, including estimates for time and cost.
Appointment Scheduling
If you'd like to move forward with treatment, we can set up an in-office appointment at a time that is convenient.
Treatment Planning
During your appointment, we will review and finalize your treatment plan and begin your orthodontic journey!
Take Photos
Please take the following pictures with your phone and upload them in form below.
On the first three its important to bite teeth together.
Its helpful to be in good lighting and for the images to be in focus. Use the flash if necessary.
A spoon or tip of finger works well to retract the lips for the side view.

1. Retract cheeks with spoons, back teeth together and take photo straight on.

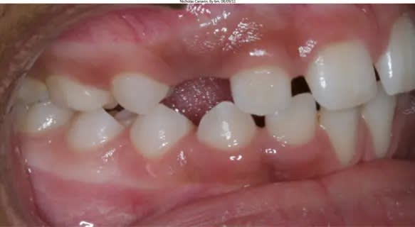
2. Right side teeth together with cheek retracted with spoon.

3. Left side teeth together with cheek retracted with spoon.

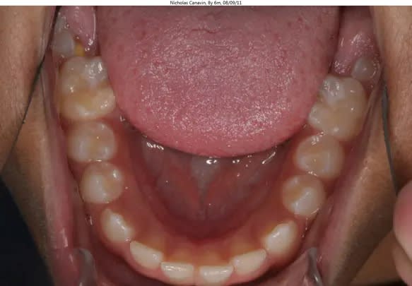
4. Tip head back, open wide and have a friend take the photo.

5. Tip head back, open wide and have a friend take the photo.
Complete the form to start the virtual consultation process.
Start Your Free Virtual Consultation
Complete the form below to start the consultation process.